Un hombre de 52 años en Florida, Estados Unidos, acudía casi todas las semanas al doctor debido a las fuertes migrañas que ya no lo dejaban hacer su vida de forma normal. Luego de varios exámenes, los especialistas lograron dar con el motivo de sus dolores, lo que fue publicado en la revista American Journal of Case Reports.
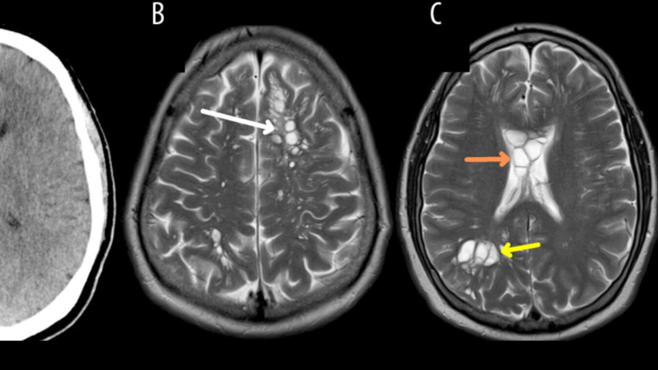
Según el reporte de CNN, el médico le hizo una tomografía que reveló múltiples quistes en todo el cerebro. Ante la sospecha inicial de que pudiera padecer una enfermedad neurológica extraña denominada quistes neurogliales congénitos, los médicos le ingresaron en un hospital de Orlando para consultar con neurocirugía.
Y bueno, los exámenes que ahí le practicaron, arrojaron que los quistes eran larvas, que se instalaron en el cerebro y le causaron una infección denominada neurocisticercosis.
¿Qué es la neurocisticercosis?
Los especialistas creen que la infección de tenía se originó por su hábito de comer tocino crudo. Esto porque la neurocisticercosis es una infección tisular parasitaria que se produce cuando una persona ingiere huevos de tenia procedentes de las heces de una persona con tenia intestinal.
El informe precisó que “solo se puede especular, pero dada la predilección de nuestro paciente por la carne de cerdo poco cocinada y su historial de exposición benigna, somos partidarios de que su cisticercosis se transmitió por autoinfección tras un lavado de manos inadecuado, después de que él mismo hubiera contraído la teniasis por sus hábitos alimentarios”.
Y claro, el hombre reconoció que tenía el hábito de comer “tocino poco cocido y no crujiente durante la mayor parte de su vida”.
¿Y el paciente? Bueno, el mismo documento precisa que fue tratado con esteroides y agentes antiparasitarios. Sus dolores de cabeza mejoraron y los quistes del cerebro se redujeron.

