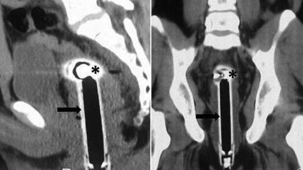
Quince centímetros medía el cuerpo extraño con el que un hombre de 26 años en India llegó al hospital. El sujeto, cuyo nombre no ha sido revelado, tenía en su recto una ducha teléfono y según dijo a los médicos, había llegado a ese lugar cuando “accidentalmente” resbaló en el baño.
El impactante caso fue documentado por los especialistas del hospital Ram Monohar de Nueva Delhi y publicado en el sitio de la Asociación Médica Británica (BMJ, por sus siglas en inglés), como objeto de estudio.
Según el informe “los cuerpos extraños en el recto comúnmente se enfrentan en todo el mundo como una emergencia quirúrgica. Tal situación surge accidentalmente o con fines autoeróticos”.
El caso del joven fue catalogado como “inusual” por los especialistas que detallaron que el paciente no tenía “signos de hemorragia activa ni peritonismo”.
“La extracción se realizó con éxito en el quirófano bajo anestesia general, con un período sin complicaciones posterior al procedimiento y el paciente fue dado de alta después de 48 horas de observación”.
El doctor Peeyush Kumar, escribió en su informe que en este tipo de casos “la historia a menudo es ambigua e incompleta debido a un alto nivel de vergüenza y estigma social asociado a la condición. Lo mismo se vio en nuestro caso. Aunque el paciente informó la inserción accidental y negó la inserción voluntaria, existe una gran sospecha de inserción voluntaria con fines autoeróticos «.
Incluso, detalló el especialista, que el paciente informó que debió desconectar la cabeza de la ducha de la pared para llegar al hospital.

